CTthrombo
ANGIOTOMODENSITOMÉTRIE DU COU ET CÉRÉBRALE PROTOCOLE PRÉ-THROMBOLYSE
Contexte clinique : ***
Protocole d’examen
Des images cérébrales de base en incidences axiale et coronale, en fenêtres cérébrales et osseuses, sans injection intraveineuse de produit de contraste iodé ont été obtenues. Des images avec contraste de la crosse aortique à la haute convexité cérébrale en incidences axiales coupes minces, multiplanaires et MIP ont aussi été obtenues.
Examen(s) comparatif(s) : ***
Observations radiologiques
Section cérébrale et cervicale générale
1. Signes d’ischémie aigüe : aucun.
2. Score ASPECTS : 10.
3. Hémorragie intracrânienne : aucune.
4. Séquelles ischémiques subaigües ou anciennes : aucune.
5. Autre(s) observation(s) cérébrale(s): aucune.
6. Autre(s) observation(s) cervicale(s): aucune.
Section vasculaire
7. Réseau carotidien droit (dissection, sténose, occlusion) : aucune anomalie.
8. Réseau carotidien gauche (dissection, sténose, occlusion) : aucune anomalie.
9. Réseau vertébrobasilaire (dominance) : aucune anomalie.
10. Polygone de Willis : aucune anomalie.
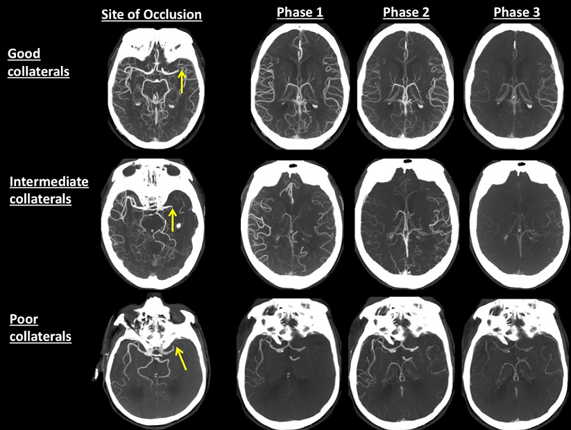
11. Collatérales (selon ASPECTS) : ***
12. Variantes anatomiques : aucune.
13. Sinus veineux : pas de signe de thrombose.
14. Autre(s) observation(s) vasculaire(s): aucune.
Opinion ***
Voir les images et tableaux plus bas pour le calcul du score ASPECTS et la détermination du niveau de collatérales
Score ASPECT sur 10 pour la circulation cérébrale moyenne où 1 point est retranché pour chaque zone affectée.
Un score < 7 est associé à un moins bon pronostique clinique.



Score ASPECT sur 10 pour la circulation cérébrale postérieure où 1 ou 2 points sont retranchés selon la zone affectée.
-
Thalami (1 point chacun)
-
Lobes occipitaux (1 point chacun)
-
Mésencéphale (2 points)
-
Protubérance (2 points)
-
Hémisphères cérébelleux(1 point chacun)
Quantification du niveau de collatérales
.png)
.png)
.png)
.png)